진단
개개인 1:1 맞춤 상담을 통해 개별적으로
잇몸 모양에 맞는 방법을 선택하는 과정입니다
궁금하신 사항을 아래 문의 내용에 입력해주시면
보다 빠르게 전화로 상담을 도와드립니다
SEOUL S1 DENTAL CLINIC
잇몸성형이란 가지런 하지 않은 잇몸라인을 잇몸성형을 통해
치아와 잇몸을 가장 조화롭게 만들어주는 레이저 심미치료입니다.

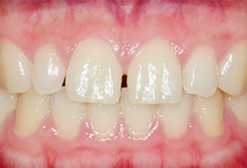
BEFORE

AFTER
잇몸자체가 반달 곡선을 그리며 부어 오르거나 뚱뚱하지 않고
미소 지을 때 잇몸이 과도하게 드러나 보이지 않아야 합니다.
서울에스원치과는 치아와 잇몸선에 대한
정확한 미의 기준을 적용해 잇몸선에 대한 위치 분석 및 대칭에 대한
분석으로 인위적인 잇몸성형이 아닌 자연스러운 잇몸 라인을 위한
성형을 진행합니다.
좌우 잇몸
대칭이 맞지
않는 경우
웃을 때
잇몸이 지나치게
노출되는 경우
잇몸이 치아를
많이 덮고
있는 경우
치아 뿌리가
노출되어 시리거나
통증이 있는
경우
잇몸이 붓거나
염증 또는 약물에 의해
잇몸이
자란 경우
개개인 1:1 맞춤 상담을 통해 개별적으로
잇몸 모양에 맞는 방법을 선택하는 과정입니다
잇몸성형하기 전 치아의 상태를 확인 후
스케일링 과정을 거칠 수도 있습니다
마취 후, 개인의 원하는 잇몸 모양에 맞게 잇몸 성형을 합니다
세부적인 부분을 살펴본 후 세세하게 조정합니다
출혈에 대한 지혈 처리를 한 후, 잇몸 성형 부위를 확인합니다
약 1~2주 후 잇몸성형 부위의 경과를 확인합니다
| 클리피엠 | 장치비+유지장치비 | 400만원 |
|---|---|---|
| 클리피씨 | 장치비+유지장치비 | 430만원 |
| 장치별교정 | 메탈 +유지장치 | 350만원 |
| 부분 교정 (1/3악당) +유지장치 | 150만원 | |
| 부분 교정 (상,하)+유지장치 | 300만원 | |
| 하악(설측) 부분 교정 +유지장치 | 200만원 | |
| 콤비 부분 교정(상,하)+유지장치 | 350만원 | |
| 투명교정 (악당) | 175만원 | |
| 투명교정 (Lite) | 350만원 | |
| 투명교정 (Comprehensive) | 500만원 | |
| MTA 악당 교정 (유지장치별도) | 100만원 | |
| 소아교정 A | 소아장치포함 | 100만원 |
| 소아교정 B | 200만원 | |
| 소아교정 C | 300만원 | |
| 기타교정비용 | 스크류별도 개당10만 | 10만원 |
| 교정발치 | 5만원 | |
| 본원 Circum(악당) | 15만원 | |
| 타원 Fixed | 4만원 | |
| 타원 Circum(악당) | 30만원 | |
| 연 유지관리비용 | 7만원 | |
| 업라이팅 (미니스크류 포함 ) | 120만원 | |
| 임플란트 치료 | 디오 임플란트 | 59만원 |
| 오스템 임플란트(SA) | 79만원 | |
| 오스템 임플란트(BA) | 89만원 | |
| 오스템 임플란트(soi) | 89만원 | |
| 단순 뼈이식 | 30만원 | |
| 복잡 뼈이식 | 50만원 | |
| 상악동(Crestal) | 50만원 | |
| 상악동(Lateral) | 100만원 | |
| 지르코니아 어버트먼트 | 30만원 | |
| 커스텀 어버트먼트(타원) | 20만원 | |
| pontic | 50만원 | |
| 타원 임플란트 리크라운 | 50만원 | |
| 커스텀 어버트먼트 | 10만원 | |
| 보철 치료 | A type 골드 크라운 | 50만원 |
| PFM 크라운(전치부) | 50만원 | |
| PFM 크라운(구치부) | 45만원 | |
| 올세라믹(전치부) | 60만원 | |
| 지르코니아(구치부) | 50만원 | |
| 지르코니아(전치부) | 60만원 | |
| 임시치아(pmma) | 20만원 | |
| 임시치아(flipper) | 20만원 | |
| 미용 치은절제술 | 5만원 | |
| 미용 치관확장술 (치아당, CLP OP) | 15만원 | |
| 틀니 치료 | 부분 틀니 | 170만원 |
| 전체 틀니 | 170만원 | |
| 틀니 수리 | 25만원 | |
| 틀니 첨상 | 30만원 | |
| 임시 틀니 | 30만원 | |
| Wire Temporary | 10만원 | |
| Locator | 30만원 | |
| 보존 치료 | 레진(교합면, 설면) | 10만원 |
| 레진(앞니)-순면 | 10만원 | |
| 레진(인접면)-면당 | 15만원 | |
| bondfill SB(교합면) | 10만원 | |
| 하이브리드 인레이 | 33만원 | |
| 세라믹 인레이 | 33만원 | |
| 골드 인레이 | 40만원 | |
| Diastema(공간당) | 60만원 | |
| 라미네이트 | 66만원 | |
| 포스트 | 15만원 | |
| 캐스트 포스트 | 25만원 | |
| Cervical resin | 8만원 | |
| Cervical bondfill SB | 10만원 | |
| 소아 치료 | 소아 레진 | 5만원 |
| SS Crown | 10만원 | |
| Band(Crown) & Loop | 15만원 | |
| 치아 홈메우기(4,5번) | 3만원 | |
| 치아 홈메우기(대구치-비보) | 5만원 | |
| 불소 도포(바니시) | 3만원 | |
| 기타 치료 | 치석제거 (비보험) | 5만원 |
| 이갈이 장치 | 70만원 | |
| 전문가 미백+자가 | 55만원 | |
| 실활치 미백 | 10만원 | |
| 큐탄 | 3만원 | |
| 스프린트 | 5만원 | |
| 미용치료(과세) | 실활치 미백 | 10만원 |
| 미백(자가+전문가 2회) | 55만원 | |
| 미백(자가) | 30만원 |